営業時間:9時〜22時(完全予約制)
\出張サービスもしています/
光触媒作用で自然な歯の白さに

いつもブログをご覧いただきまして誠に有難うございます。
歯のセルフホワイトニングサロンが閉店・倒産していってます。
歯科医のホワイトニングは漂白剤を使ってるので漂白並みに歯を白くできることで、そしてドクターが取り扱い、歯の検診と共にホワイトニングもできますが費用が高い!!
3回で10万超えとか普通にいってます・・・それ継続できるとかすごいです・・・
もっと身近に誰もが歯を白く維持できる安価で気軽に通えて、セルフホワイトニングでもしっかり効果がでるので、当店のホワイトニングをお勧めしていきますね。
セルフホワイトニングでは歯を白くするには限界がある
エステサロンでは歯科医院が扱う高濃度薬剤(過酸化尿素・過酸化水素)といった医療用ホワイトニング薬剤の使用・扱い不可のため、歯の漂白は出来かねます。
この青く囲まれてる範囲がいわゆる高濃度薬剤によるホワイトゾーンになります。

当店の歯のホワイトニングは限界とされているB1まで白くすることが可能です。
自分の自前の歯がB1までの白さに近づくだけでも口元の印象はだいぶ変わります。
ホワイトニングジェルは酸化チタンを使用
食材、歯磨き粉などの医薬品、化粧品など多くのものに使用されている酸化チタンは安全安心で、飲み込んでしまっても体に害はありません。
光触媒作用で汚れを分解・付着予防に
当店のセルフホワイトニングは、LED光の照射と専用のホワイトニングジェルの科学反応である光触媒作用により、歯に付いた汚れやニオイを分解し、さらなる汚れの付着を防ぎます。
当店の歯のセルフホワイトニングのポイント
- 業界初低価格
- 殺菌・消臭効果
- 気軽なエステ感覚
- 痛くない・知覚過敏持ちの方もできるホワイトニング
- 自然な白い歯になりたい
知覚過敏には高濃度薬剤によるホワイトニングはNG
歯科医院のホワイトニングでは高濃度薬剤を使用するため、濃度を多少下げても知覚過敏が悪化してしまします。
私も歯科医のホワイトニングに通っていたこともあり、歯の検診・マウスピースの作成と薬剤を買うのに初回で2~3万円し、2回目以降からは薬剤を購入するだけでも毎月8千円ほどかかっていました。(歯の検診代は別途かかる)他にも電動歯ブラシや歯磨き粉などの購入を購入するまで勧められていました。
しかし、私は知覚過敏がでてきて、水で口をゆすぐだけでも沁みてしまい、知覚過敏がひどくあっかしたことで、歯科医のホワイトニングはやめました。元々、知覚過敏は口をゆすぐ時間を長く、何回もゆすぐことに時間をつくることで知覚過敏にならなくなっていましたが、高濃度薬剤でひどくなってしまいました。
※歯周病はもっていません。毎月歯の検診に通っててケアしてます。
歯科医は歯の検診だけにし、セルフホワイトニングで歯の白さをキープしていってます。
現在は矯正器具を付けているため、ホワイトニングは出来かねますが、矯正も数ヵ月で終了するので、またホワイトニングしていくのが楽しみです。ホワイトニングしていた時、歯の白さにすごく褒めて頂いてました。
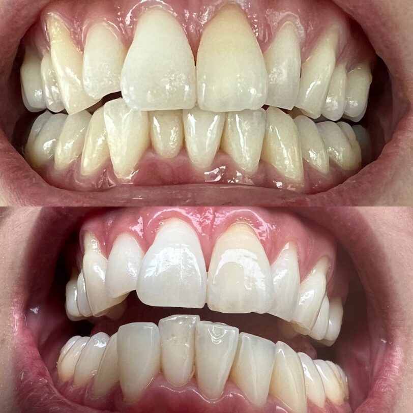
当店も白くなった症例あり





なんと1回の効果がすごいんです!!結構、皆さん感動されますよ!!一切、加工・光なし
歯磨きだけで汚れが落ちやすくもなるので、光触媒作用による分解効果は後々の普段の歯磨きでも汚れがとれやすくなり、付着予防にもなります。
漂白したような白さではなく、自然な歯の白さにも戻す感じです。
元々の歯の白さに戻すといった感じで限界の範囲内で自然な白さに戻していきませんか??
知覚過敏が酷くなることもありませんので、安心安全かつ十分にホワイトニングの効果あり!
光触媒がもつ効果=歯のエイジングケア

肌の衰えと共に歯も衰えます。
歯のエイジングケア始めませんか?
真っ白に漂白したかのような白さにすると不自然で馴染めないといったこともあるでしょう。
清潔感と若さを感じる自然な白さを目指したい方にはエステサロン・ジャスミンが取り扱う光触媒作用を利用したホワイトニングは1度でもしっかり効果を実感していただけます。
黄ばみは長年蓄積されてると取れにくくなりますが、10~60代の方まで幅広くご利用いただけます。
1回/4,000円(税抜)
3回/10,000円(税抜)
5回/15,000円(税抜)

